Описание
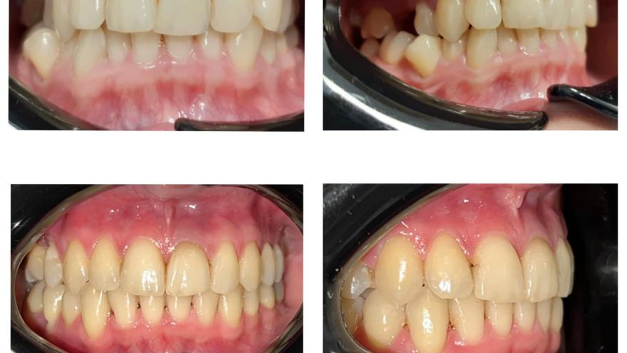
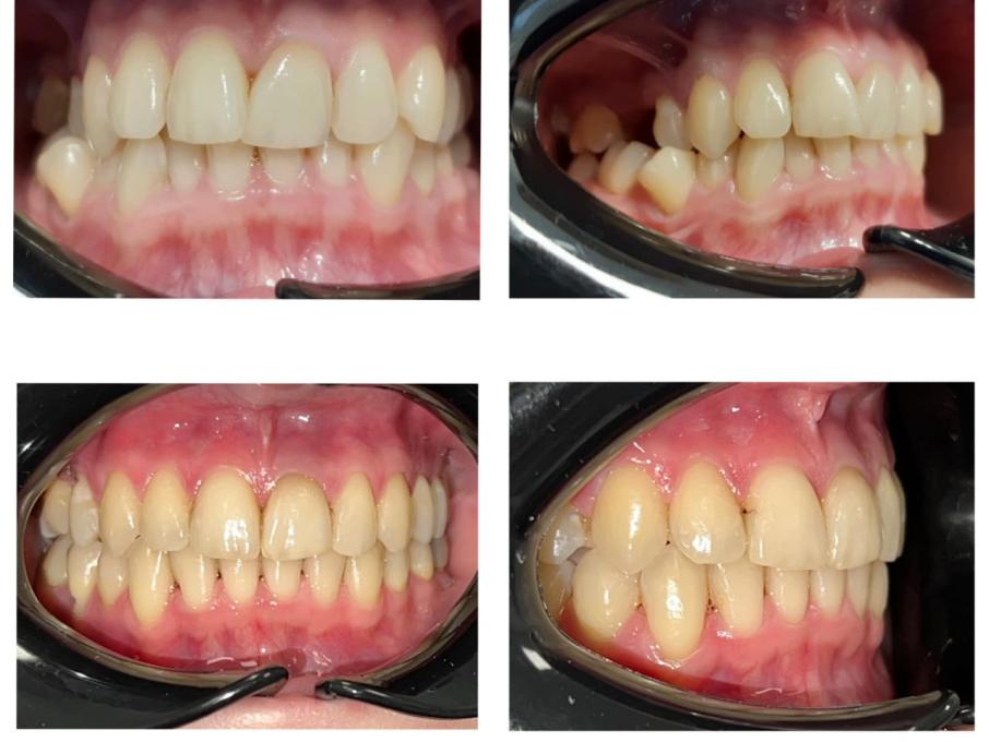
Стоматологическая клиника Doctor Petryk — это особое пространство во Львове, где профессиональная медицина приобретает черты настоящего искусства, а каждый пациент чувствует себя частью большой и дружной семьи. Основатель клиники и его команда построили работу на фундаменте бескомпромиссного качества и искреннего человеческого отношения, где главной ценностью является не только лечение зубов, но и общий эмоциональный комфорт человека. В Doctor Petryk царит атмосфера спокойствия и уверенности, которая помогает забыть о старых страхах перед стоматологическим креслом, ведь к каждому гостю здесь подходят с терпением и глубоким пониманием его потребностей. Клиника предлагает полный спектр современных услуг — от безупречной профессиональной гигиены и отбеливания, возвращающих улыбке естественное сияние, до сложного лечения каналов под микроскопом, что позволяет спасать даже самые безнадёжные зубы.
Специалисты учреждения являются настоящими экспертами в области эстетической стоматологии и протезирования: установка высокохудожественных виниров, керамических коронок и надёжная имплантация выполняются с ювелирной точностью, возвращая лицу гармонию и молодость. Благодаря использованию цифровых технологий сканирования и планирования пациенты могут увидеть результат своей будущей улыбки ещё до начала работ, что делает процесс лечения прозрачным и прогнозируемым. Doctor Petryk становится надёжным партнёром для тех, кто ценит своё здоровье и стремится получить сервис премиального уровня, где каждая манипуляция наполнена заботой, а результат дарит уверенность на долгие годы.
Показать больше