Описание
Стоматологическая клиника Apex Dent во Львове — это пространство, где современные цифровые технологии и искренняя человеческая забота объединяются для создания улыбок, которые вдохновляют. Команда клиники исповедует философию прецизионной медицины, где каждый этап лечения планируется с максимальной точностью, а пациент чувствует себя в центре внимания и полной безопасности. Учреждение предоставляет полный спектр стоматологических услуг, начиная с профессиональной гигиены и бережного отбеливания, которые возвращают зубам природное сияние, до сложного терапевтического лечения кариеса и корневых каналов под микроскопом.
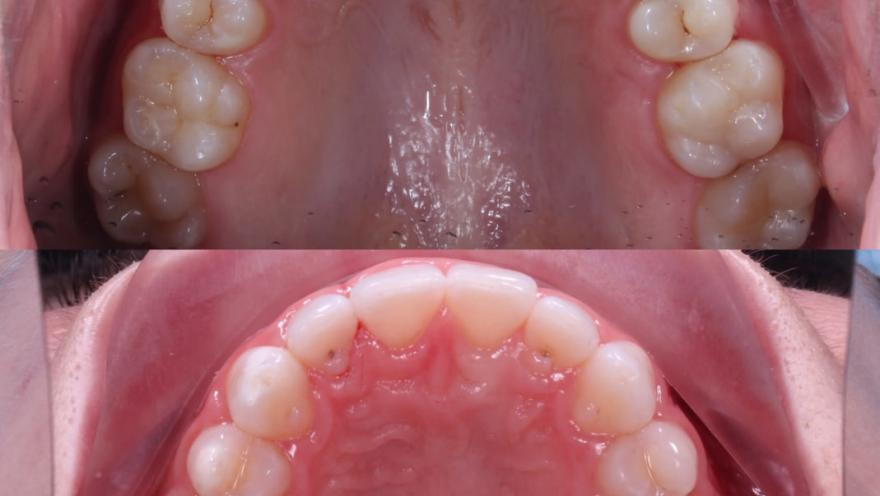
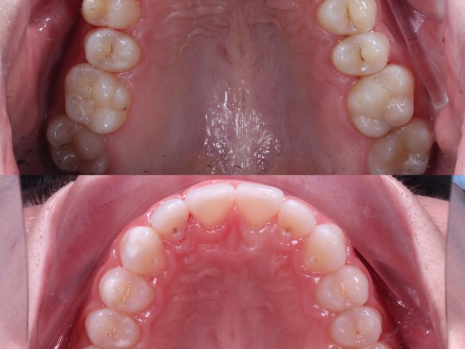
Особый акцент в Apex Dent сделан на эстетической стоматологии и протезировании: мастерская установка виниров и коронок позволяет пациентам получить гармоничный и естественный результат, о котором они мечтали. Для восстановления функциональности зубного ряда врачи успешно проводят имплантацию и хирургические вмешательства любой сложности, используя прогрессивные цифровые протоколы. Также клиника помогает пациентам приобрести правильный прикус с помощью современных брекет-систем и элайнеров, обеспечивая комфортный путь к ровным зубам. Это место, где инновационное оборудование, профессионализм врачей и эстетическое видение создают идеальную формулу для здоровья и уверенности каждого клиента.
Показать больше