Описание
В ВіоДент к лечению зубов относятся с особой философией: здесь верят, что путь к идеальной улыбке должен быть коротким, понятным и, главное, лишённым любого стресса. Команда клиники создала пространство, где профессиональная экспертность сочетается с искренней человечностью, поэтому каждый пациент чувствует себя в безопасности с первой минуты визита. Специалисты ВіоДент — это мастера, которые знают ценность каждого зуба, поэтому делают ставку на бережное лечение каналов под микроскопом и деликатную терапию, позволяющую сохранять здоровье собственной эмали на долгие годы.
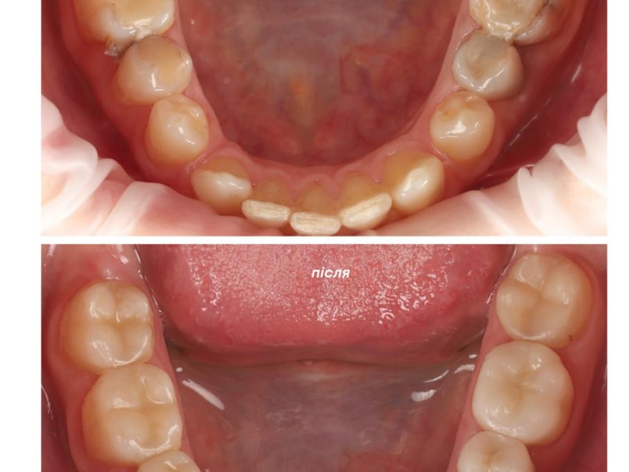
Особая магия происходит в эстетическом направлении: врачи клиники с ювелирной точностью создают художественные реставрации и устанавливают керамические виниры, которые выглядят настолько естественно, что их невозможно отличить от настоящих зубов. Для тех, кто нуждается в восстановлении утраченного, в ВіоДент предлагают современную имплантацию и надёжное протезирование, возвращая не только способность полноценно наслаждаться едой, но и уверенность в собственной привлекательности. Клиника также уделяет большое внимание культуре ухода, проводя профессиональную гигиену, которая дарит ощущение невероятной свежести. В ВіоДент не просто лечат — здесь заботятся о том, чтобы каждая улыбка была здоровой, сияющей и абсолютно настоящей, а каждый пациент уходил из кабинета с хорошим настроением.
Показать больше