Стоматологическая клиника U&S — это пространство современной стоматологии во Львове, созданное для тех, кто ищет баланс между высоким качеством и доступностью. С 2021 года клиника работает по принципу индивидуального подхода: здесь понимают, что каждый пациент уникален, поэтому предлагают персонализированные решения для здоровья вашей улыбки. Уютная атмосфера и внимательные врачи помогают забыть о стрессе, превращая визит к стоматологу в комфортную и понятную процедуру.
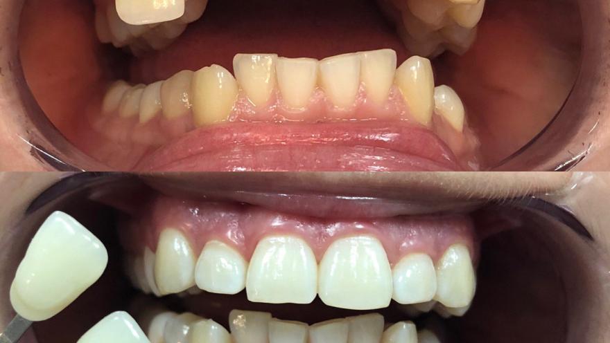
Спектр услуг клиники охватывает все ключевые направления ухода за полостью рта. Опытные специалисты успешно проводят терапевтическое лечение, восстанавливая зубы современными материалами, и занимаются профессиональным протезированием для возвращения эстетики. Также в U&S доступна качественная имплантация для надежной замены утраченных зубов и ортодонтическое лечение, позволяющее создать ровную и гармоничную улыбку.
Главное преимущество U&S — это сочетание новейших технологий с честной ценовой политикой. Клиника оснащена современным оборудованием для точной диагностики, а лечение проходит безболезненно благодаря качественной анестезии. Это место, где о вашем здоровье заботятся профессионалы, гарантируя долговечный результат и приятные эмоции от каждого посещения.