Описание
Ветеринарная клиника Imperium Vet во Львове — это современное пространство, где забота о здоровье животных выходит на уровень настоящего искусства, сочетая передовые медицинские стандарты с исключительной чуткостью к каждому пациенту. Команда учреждения убеждена, что каждый хвостик заслуживает королевского отношения, поэтому врачи создают особую атмосферу доверия, где профессионализм не вытесняет искреннюю человеческую нежность. Здесь понимают, что за каждым пациентом стоит тревога его хозяина, поэтому специалисты всегда находят время для детальных объяснений и поддержки, превращая визит к врачу в положительный опыт для всей семьи.
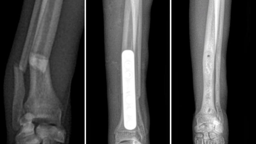
Клиника обеспечивает комплексный подход к здоровью питомцев, предлагая широкий спектр услуг от плановой вакцинации и чипирования до высокоточных диагностических исследований и хирургических вмешательств любой сложности. Благодаря современному оборудованию, включая возможности ультразвуковой диагностики и собственной лабораторной базы, врачи Imperium Vet имеют возможность оперативно выявлять малейшие отклонения в состоянии здоровья и своевременно назначать эффективное лечение. Помимо терапевтической помощи, клиника уделяет большое внимание профилактике и правильному уходу, помогая владельцам обеспечивать своим подопечным высокое качество жизни на каждом этапе.
Показать больше