Описание
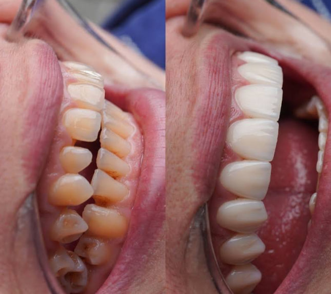
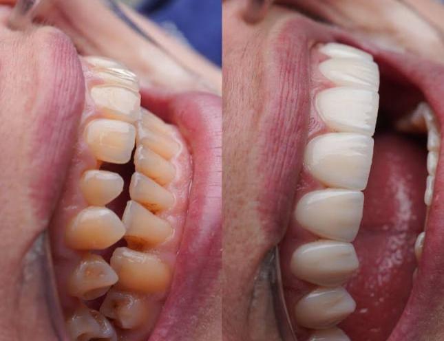
В клинике Dental Lviv к здоровью зубов относятся не как к сухому медицинскому протоколу, а как к искусству заботы о человеке. Команда специалистов создала пространство, где каждый пациент чувствует поддержку на пути к своей идеальной улыбке, получая полный спектр современной помощи в одних стенах. Врачи клиники с ювелирной точностью проводят лечение под микроскопом, что позволяет спасать даже безнадёжные зубы, и выполняют деликатную профессиональную гигиену, которая дарит ощущение лёгкости и чистоты.
Особое внимание здесь уделяют восстановлению уверенности: мастера эстетической стоматологии создают безупречные виниры и проводят безопасное отбеливание, а хирурги-имплантологи возвращают пациентам радость полноценной жизни с помощью надёжной имплантации и протезирования. Ортодонтическое лечение в Dental Lviv направлено на гармонизацию лица и исправление прикуса современными методами, которые остаются комфортными для пациента на каждом этапе. Клиника обеспечивает комплексный подход — от базового лечения кариеса до сложных реконструктивных операций, при этом сохраняя максимально тёплую атмосферу и искреннее, человеческое отношение к каждому, кто переступает их порог.
Показать больше